Para importar fotos a Kitview tenemos diferentes formas de hacerlo:
1) Arrastrar y soltar o copiar/pegar
a) Primero, debe seleccionar su paciente en Kitview. Luego, abre la carpeta con las imágenes y luego puede arrastrarlas a su paciente una por una o todas a la vez.
Para este ejemplo, seleccionamos 3 fotos y las arrastramos hasta el paciente.
Kitview nos muestra la siguiente ventana:
De forma predeterminada, Kitview colocará la etiqueta Tiempo = 1 y podremos agregar otras etiquetas (palabras clave) manualmente. Validamos la importación pulsando en "Validar los 3 objetos" para que se importen las 3 fotos directamente.
La etiqueta de secuencia en Kitview es la etiqueta TIEMPO.
El incremento se realizará si el intervalo de toma de fotografías es mayor o igual a 15 días.
Este valor se modifica desde "Ajustes" -> "Diccionario" -> "Etiquetas" -> "Incremento del tiempo en dias"
Ejemplo: mi primera importación de fotos tiene la etiqueta TIEMPO = 1 para cada una de ellas.
Si importo fotos en un plazo inferior a 15 días, las fotos siempre tendrán la etiqueta TIEMPO valorada en 1. En cambio, si importo fotos en un plazo superior a 15 días, las fotos tendrán la etiqueta TIEMPO valorada en 2.
b) Para usar la función copiar/pegar, simplemente seleccione las fotos/documentos en su computadora, luego vaya a su paciente, haga clic derecho y elija "Pegar".
2) Kit Print-Screen
La función Kit Print-Screen permite realizar una captura precisa de una zona de nuestra pantalla. Deberá asegurarse de que el software Kit Hot Keys esté iniciado (vea en la barra inferior de Windows si el ícono está presente).
Deberá verificar la tecla del teclado definida para usar el Kit de impresión de pantalla (puede ser F5, F6 o F7).
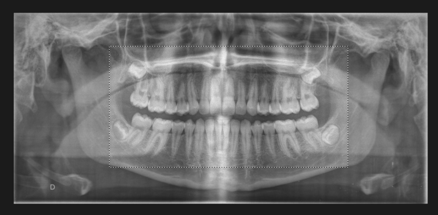
¿Cómo funciona? . Imagine que está mirando una radiografía panorámica y quiere capturar solo una zona de la misma. Presione F6 (si es la tecla correcta en el teclado) e inmediatamente su pantalla se volverá borrosa. Usando su ratón, defina un rectángulo de captura y cuando suelte el botón izquierdo del ratón, se generará la captura.
El área seleccionada se convertirá en una nueva foto en el expediente del paciente. De esta manera podrá capturar fotografías, texto, una tabla de Excel o cualquier cosa que vea en su pantalla.
¿Cómo sé qué tecla del teclado se ha asignado?
Haga clic derecho en el icono de KitHotKeys y seleccione "Show". Aparecen los ajustes.
3) Application Smartphone Kitview
Con la aplicación para smartphones (IOS y Android) puede tomar fotografías, importar fotografías existentes en su teléfono y otros usos.
Descargar para Apple IOS
Descargar para Android
Consulte todas las funciones de la aplicación en este ENLACE
4) Cámara WIFI
Si tiene una tarjeta SD FlashAir o EyeFi Mobipro (proporcionadas por Kitview) puede importar fotos desde su cámara SLR a través de WIFI.
¿Cómo funciona?
a) elija su paciente
b) haga clic en el icono en la barra de herramientas de Kitview
c) elija la plancha de fotos que desea utilizar
d) haga clic en el logo de WIFI. Se abre otra ventana para mostrarte las fotos que se transferirán vía wifi.
Para esta Sesión predefinida, debes tomar 8 fotos y la sesión te dice qué hacer
1: Retrato Cara Reposo
2: Retrato Derecha perfil
3: Sonrisa Frontal
4: Intraoral Cara
5: Intraoral Derecha
6: Intraoral Izquierda
7: Intraoral Maxilar
8: Intraoral Mandibular
Si necesita volver a tomar una foto nueva (borrosa, mal enmarcada, etc.), seleccione la casilla correspondiente y vuelva a tomar la foto.
Después de hacer todas las fotos, haga clic en "Importar escenario xxx". Las fotos se importarán a su expediente de paciente, incorporarán las palabras claves.
Si desea importar solo ciertas fotos (pero no la sesión completa), debe hacer clic en "Importar escenario xxx". Kitview le preguntará qué hacer.
Comentarios
0 comentarios
Inicie sesión para dejar un comentario.